Le Syndrome Nutcracker

Une pathologie souvent méconnue, mais aux conséquences bien réelles.
ID NEST Medical développe une solution endovasculaire adaptée à la physiologie veineuse pour en améliorer durablement la prise en charge.

QUEL EST LE TRAITEMENT DU SYNDROME DE NUTCRACKER ?

Les traitements les plus efficaces sur le long terme sont chirurgicaux:

  • La transposition de la Veine Gonadique Gauche : Le chirurgien réimplante la veine gonadique dans la veine iliaque gauche sans aborder chirurgicalement la veine rénale. Ceci est réalisé si la veine gonadique le permet, afin de diriger directement le flux veineux rénal vers le retour cave. Un stent veineux iliaque mis en place préalablement pour un syndrome de Cockett peut parfois cependant être un obstacle et nécessiter d’adapter la stratégie thérapeutique.
  • L’abaissement de la Veine Rénale Gauche permettant une réimplantation de la veine rénale plus bas dans la veine cave inférieure, à distance de la zone de compression.
  • Le décroisement de l’artère mésentérique supérieure : il s’agit pour le chirurgien d’abaisser l’origine de l’artère, afin qu’elle ne comprime plus la veine rénale.
  • Le pontage veineux qui consiste à modifier le trajet de la veine rénale pour l’extraire de la pince.
  • Et enfin, l’auto transplantation du rein gauche où le chirurgien déplace le rein dans son ensemble (Artère Rénale et Veine rénale) pour le positionner plus bas sur les vaisseaux iliaques.

UNE COMPRESSION VEINEUSE MÉCONNUE

Le syndrome du Casse-Noisette, également appelé Nutcracker Syndrome (NCS), se caractérise par une compression de la veine rénale gauche entre l’aorte abdominale et l’artère mésentérique supérieure. Cette pression anormale entrave le retour veineux rénal, provoquant une stase sanguine et une élévation de la pression veineuse.

Ses symptômes sont variés : douleurs abdominales ou lombaires, hématurie (sang dans les urines), fatigue chronique, voire hypertension veineuse pelvienne.

Souvent confondu avec d’autres pathologies, le NCS reste largement sous-diagnostiqué dans le monde.

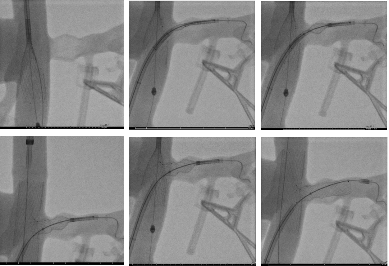
UNE SOLUTION ADAPTÉE : LE T-STENT VEINEUX

L’objectif : restaurer la circulation naturelle tout en préservant l’intégrité de la veine. Le T-Stent Veineux développé par ID NEST Medical répond précisément à ces défis. Conçu pour épouser les structures veineuses souples et dynamiques, il offre :

UNE ARCHITECTURE ANATOMIQUE

UNE ARCHITECTURE ANATOMIQUE

La structure du T-Stent veineux est composée de stents indépendants capables de s’adapter aux variations de la veine rénale. Cette modularité garantit une apposition homogène sur la paroi, même en cas de compression sévère, et limite les risques de déformation.

UNE CONNEXION ÉLASTIQUE BREVETÉE

UNE CONNEXION ÉLASTIQUE BREVETÉE

Les modules sont reliés par une connexion élastique qui absorbe les mouvements naturels de l’abdomen. Ce mécanisme réduit les contraintes exercées sur la veine et assure une stabilité compatible avec les variations de pression propres au Nutcracker.

UNE STABILITÉ RENFORCÉE

UNE STABILITÉ RENFORCÉE

Le design du T-Stent offre un ancrage fiable dans une zone anatomique très mobile. Cette stabilité annule le risque de migration, un enjeu majeur dans la prise en charge du Nutcracker Syndrome.

PRINCIPE DE FONCTIONNEMENT

Le T-Stent veineux a été conçu pour restaurer le flux sanguin dans la veine rénale comprimée, cœur du Nutcracker Syndrome. Grâce à son architecture modulaire et à ses connexions élastiques, il s’adapte à la morphologie de la veine tout en absorbant les mouvements naturels de l’abdomen. Une fois positionné dans la zone de compression, il crée un canal stable et homogène qui empêche l’écrasement de la veine par les structures environnantes.

Cette stabilité mécanique permet de réduire la pression intraveineuse, de rétablir une circulation fluide et de soulager durablement les symptômes, sans provoquer de protrusion ou de surdilatation.

FAQ

UNE INNOVATION AU SERVICE DE LA RECHERCHE

Les équipes d’ID NEST collaborent avec plusieurs centres hospitaliers universitaires européens afin d’évaluer la performance du T-Stent sur le long terme.
Des études cliniques multicentriques sont en préparation pour mesurer les résultats fonctionnels, la durabilité du dispositif et l’amélioration de la qualité de vie des patients.

Cette approche s’inscrit dans la volonté d’ID NEST de valider scientifiquement chaque innovation, avant sa mise à disposition du corps médical.

Vie privée

Ce site utilise des cookies afin de vous offrir la meilleure expérience utilisateur possible. Les informations relatives aux cookies sont stockées dans votre navigateur et remplissent des fonctions telles que vous reconnaître lorsque vous revenez sur notre site web et aider notre équipe à comprendre quelles sections du site vous trouvez les plus intéressantes et utiles.