
The IDNEST Medical project is accelerating like never before. Thanks to our partnership with the IHU Strasbourg (Institute of Image-Guided Surgery), we have reached a decisive milestone towards the clinical validation of our solution.
4 successful procedures in the hybrid room
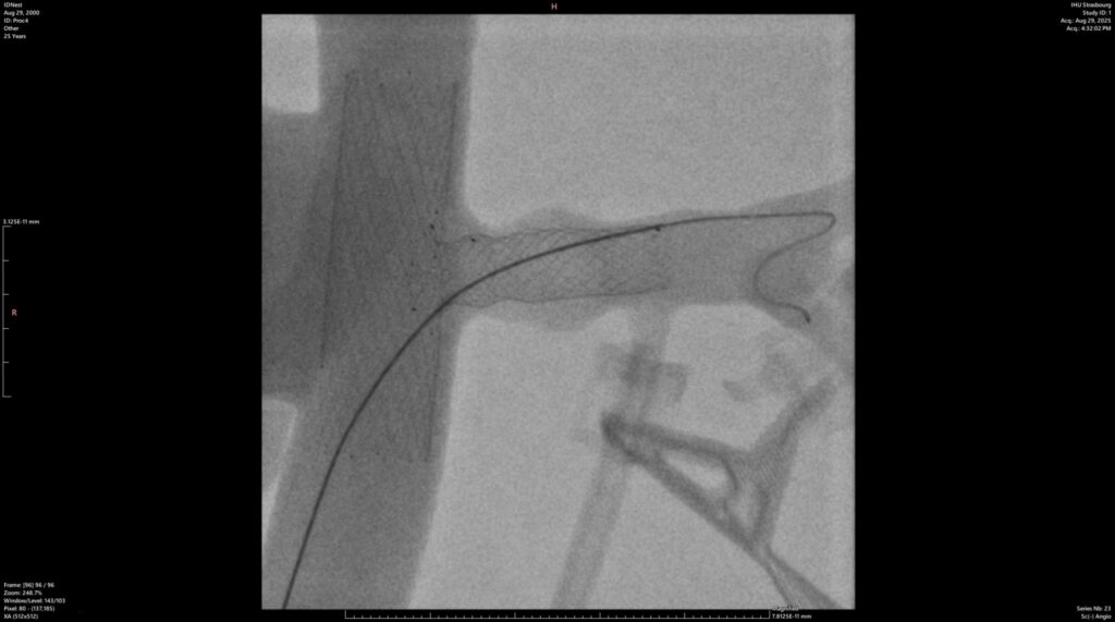
Access to the IHU’s state-of-the-art hybrid rooms allowed us to conduct a series of tests in near-real conditions. In total, 4 implantation procedures of our T-Stents were performed inside a dedicated in-vitro model, all under radiological control (X-ray).
The objective was clear: to validate the device’s visibility on imaging and confirm its maneuverability for the surgeon.

Results up to our expectations
The results perfectly met our expectations. The tests confirmed excellent visibility of the products under X-ray (see image above) as well as great ease of use for the operators.
Feedback from the experts present was unanimous and very encouraging for the future:
“These are only prototypes, but they are already of high quality and easy to use.” — Pr. Nabil Chakfé
“I could have operated on a patient instead of the in-vitro model. The result would have been the same.” — Dr. Philippe Nicolini
Heading towards Proof of Concept (PoC)
These successful tests bring us rapidly closer to the final Proof of Concept (PoC). The technology is now mature, visible, and manipulable with the precision required for tomorrow’s endovascular surgery.
