
Le projet IDNEST Medical accélère comme jamais. Grâce à notre partenariat avec l’IHU Strasbourg (Institut de Chirurgie Guidée par l’Image), nous avons franchi une étape décisive vers la validation clinique de notre solution.
4 procédures réussies en salle hybride
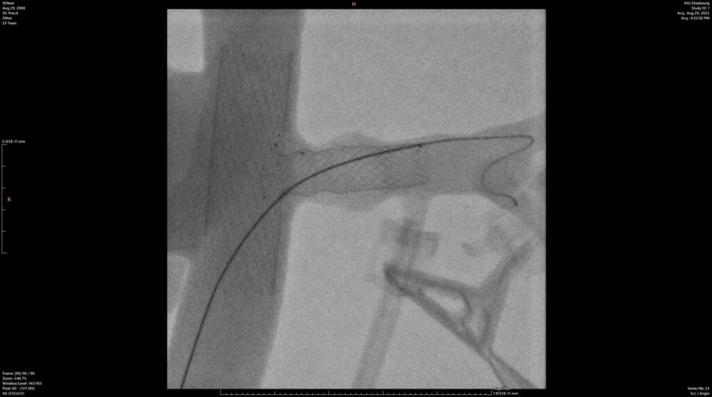
L’accès aux salles hybrides de pointe de l’IHU nous a permis de réaliser une série de tests en conditions quasi-réelles. Au total, 4 procédures d’implantation de nos T-Stents ont été effectuées à l’intérieur d’un modèle in-vitro dédié, le tout sous contrôle radiologique (rayons X).
L’objectif était clair : valider la visibilité du dispositif à l’image et confirmer sa maniabilité pour le chirurgien.

Des résultats à la hauteur de nos espérances
Les résultats ont parfaitement répondu à nos attentes. Les tests ont confirmé une excellente visibilité des produits sous rayons X (voir image ci-dessus) ainsi qu’une grande dextérité d’utilisation pour les opérateurs.
Les retours des experts présents sont unanimes et très encourageants pour la suite :
« Ce ne sont que des prototypes, mais ils sont déjà de haute qualité et faciles à utiliser. » — Pr. Nabil Chakfé
« J’aurais pu opérer un patient au lieu du modèle in vitro. Le résultat aurait été le même. » — Dr. Philippe Nicolini

Cap vers la Preuve de Concept (PoC)
Ces tests réussis nous rapprochent à grands pas de la Preuve de Concept (PoC) finale. La technologie est désormais mature, visible et manipulable avec la précision requise pour la chirurgie endovasculaire de demain.